Inflammatory Fibroid Polyps (IFP) or Vanek Tumors of the GI Tract

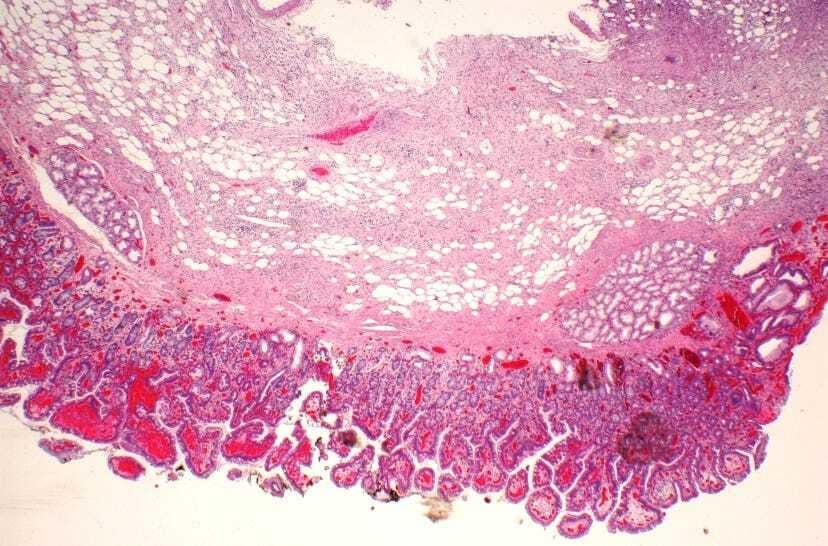
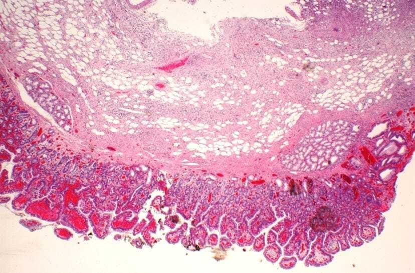
The images show Vanek tumors of the duodenum (left) and the stomach (right) (Stomach photo by @patholwaker)
Inflammatory fibroid polyps (IFP) or "Vanek tumors" are rare submucosal lesions arising from a reactive, benign granuloma-like process of the GI tract (1). This tumor is most commonly located in the stomach (70%), ileum (29%) and colon (6%) (2-4). Other locations such as esophagus, duodenum, ileum and gallbladder account each to 1% (1-3).
Patients with these tumors may present with abdominal pain, bleeding and obstructive signs. Diagnosis is made by histology. However, the endoscopic findings often show a submucosal lesion that is ulcerated or an elevated ulcer, such as these cases.
On histology the main characteristics are the presence of spindle cells, accompanied by vascular and fibroblastic proliferation and eosinophilic infiltration (2-4). Immunohistochemistry is important to distinguish IFP or Vanek tumors from GIST. Whereas GIST are CD-117 and DOG-1 positive, IFPs are CD-34 and Vimentin-positive, but NEGATIVE for CD-117, c-kit, DOG-1, S-100, desmin, ALK, and IgG4. Treatment generally consists of endoscopic or surgical resection of the lesion (5, 6).

Further reading:
Garmpis N, Damaskos C, Garmpi A, et al. Inflammatory Fibroid Polyp of the Gastrointestinal Tract: A Systematic Review for a Benign Tumor. In Vivo. 2021;35(1):81-93.
Kawai A, Matsumoto H, Haruma K, et al. Rare case of gastric inflammatory fibroid polyp located at the fornix of the stomach and mimicking gastric cancer: a case report. Surg Case Rep. 2020;6:292.
3. Wysocki AP, Taylor G, Windsor JA. Inflammatory fibroid polyps of the duodenum: a review of the literature. Dig Surg 2007;24:162-168.
4. Vanek J. Gastric submucosal granuloma with eosinophilic infiltration. Am J Pathol 1949;25:397–411.
5. Shimura T, Kataoka H, Sasaki M, et al. Rectal inflammatory fibroid polyp resected with endoscopic submucosal dissection. Intern Med 2008;47:2029–2031.
6. Akbulut S. Intussusception due to inflammatory fibroid polyp: a case report and comprehensive literature review. World J Gastro 2012;18:5745–5752.
IFP on EndoCollab
A big thank you to this week's sponsors who help keep this newsletter free for the reader:
This vs That Digital Flashcards. Never be confused by similar GI diseases again! Flashcards for diseases that every endoscopist must know! Grab yours by clicking here.
EndoCollab. EndoCollab is an online community for GI endoscopists. With 800+ members, endoscopists discuss interesting cases, view on-demand video courses, and get new endoscopy tips every day. Join EndoCollab


