Cecal Volvulus

Jacob C Davis, DO
Internal Medicine Resident, Carilion Memorial Hospital, Virginia Tech Carilion School of Medicine
Klaus Mönkemüller, MD, PhD, FASGE, FESGE, FJGES
Professor of Medicine, Virginia Tech Carilion School of Medicine, Roanoke, Virginia, USA
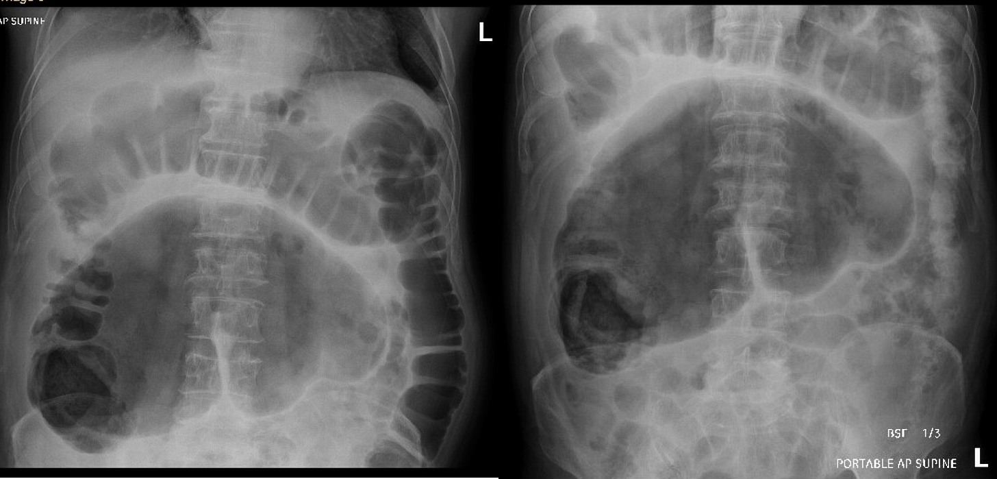
A 61-year-old male with a past medical history significant for DVT/PE on Eliquis and HTN presented to the emergency room after a questionable syncopal episode and a ground level fall. He was found to have a right orbital fracture as well as T8 and L2 vertebral fractures. GI was consulted for abdominal distention, LUQ abdominal pain. A CT abdomen/pelvis showed a distended gallbladder with wall thickening suspicious for acute cholecystitis, L2 acute compression fracture, bilobed abdominal aortic aneurysm, and distention of right and transverse colon. An abdominal ultrasound was done at that time as well showing an abnormal gallbladder with distention and wall thickening, which was suspicious for acalculous cholecystitis. HIDA scan was normal at that time. A KUB was obtained a few days later showing non-dilated small bowel loops, moderate air distention of transverse and descending colon, marked air distention of cecum suspicious for cecal ileus (A, B).

Cecal volvulus occurs because of the cecum twisting around its mesentery, often leading to a bowel obstruction (1). If unrecognized and untreated cecal volvulus can lead to bowel perforation and fecal peritonitis (1). Cecal volvulus accounts for roughly 10% of volvulus cases and typically occurs in younger patients compared to sigmoid volvulus (1). Patients with a developmental failure of peritoneal fixation of the proximal colon and restriction of bowel movement at fixed point from prior adhesions, mass, or scarring are risk factors for development of cecal volvulus (1). On KUB you will typically see marked distention of a loop of large bowel extending from the RLQ to the epigastric area or LUQ which can resemble a coffee bean, as seen above in figures A/B. A contrast enema or abdominal CT scan can be done for further characterization. Treatment options depend on the presence of colonic ischemia and tissue viability (1). In cases where the cecum is not viable a right hemicolectomy is indicated (1). In cases where there is no tissue ischemia treatment involves laparoscopic reduction or colonoscope reduction for patients that cannot tolerate surgery (1). However reduction alone is associated with a high risk of recurrence so cecopexy which involves attaching the cecum to the bowel wall is recommended (1).
Inspired by today’s case on Cecal Volvulus?
Enhance clinical skills with our comprehensive course:
Basics in Endoscopy: Dilation of GI Tract Stenosis
Understand key principles for managing bowel obstructions.
Learn balloon dilation techniques for esophageal and colonic stenoses.
Practical tips for handling complex cases like volvulus and bowel obstructions.
References:
Gaillard F, Walizai T, Anan R, et al. Cecal volvulus. Reference article, Radiopaedia.org (Accessed on 05 Nov 2024) https://doi.org/10.53347/rID-1041

Cecal Volvulus.pdf
352.77 KB • PDF File

